Triple vessel angioplasty (stenting) via radial approach (wrist).
Mrs SB, 58, F
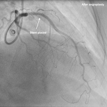
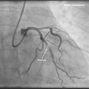
This lady was seen in clinic with history of chest pain and found to have Treadmill test (TMT) +ve in Aug 2015. She was reviewed by our team and advised coronary angiography, but she didn’t turn up. After 2 months she came to see me again in OPD. In between, she had undergone angiogram in another hospital in the city, as someone known to her recommended that. After the angiogram, she was advised that she has block in 2 arteries and advised 2-vessel angioplasty. The family took the report and the CD to one another hospital in the city. They were told there were blockages in all 3 arteries and advised either angioplasty or bypass surgery (CABG). She and the family got confused with this and decided to come and see me. I reviewed the angiogram and explained to them about the problem- all 3 vessels had blockages, but all blockages are focal- which essentially means no need for long stents. After informed consent, we performed 3-vessel angioplasty through the wrist and inserted 3 stents successfully. She was discharged home in 2 days and been under my follow up since then. It is now more than 4 years and she is doing remarkably well with regular exercise and no symptoms. She has also travelled to Saudi Arabia to see her son for few months and been back.




