Skip to content

Dr. Refai Showkathali

  • DOCTOR
    • Statement
    • Profile
    • Publications
      • Review articles
      • Editorial/Perspectives
      • Book Chapters
      • Case report and Images
      • Letter to Editors
      • First Author Abstracts
      • Other Abstracts
      • Research Articles/Briefs
    • Lectures
    • Gallery
      • Photo Gallery
      • Video Gallery
      • News Media
  • KNOW YOUR HEART
    • Normal Heart
    • ABC of heart care
    • Symptoms
    • Heart Conditions
    • Tests for the Heart
    • Specialised Heart Procedures
    • Treatment for Heart
  • Other Conditions
    • DIABETES
    • Hypertension (high Blood pressure)
    • Smoking
    • Cholesterol (Lipids)
    • Healthy Living
    • Healthy Eating
  • CASE STUDIES
    • For Public
    • For Clinicians
Get Appoinment

Specialised Heart Procedures

drrefai > Specialised Heart Procedures

Advanced Coronary Intervention

Orbital Atherectomy

Orbital Atherectomy

Learn more
Impella assisted CHIP Angioplasty

Impella assisted CHIP…

Learn more
Laser angioplasty (ELCA)

Laser angioplasty (ELCA)

Learn more
Intravascular Lithotripsy (IVL) System

Intravascular Lithotripsy (IVL)…

Learn more
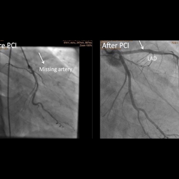
Chronic Total occlusion (CTO) angioplasty

Chronic Total occlusion…

Learn more
Left main stem (LMS) stenting

Left main stem…

Learn more
Vein graft (SVG) stenting

Vein graft (SVG)…

Learn more
Bifurcation stenting

Bifurcation stenting

Learn more
FFR (Fractional Flow Reserve)

FFR (Fractional Flow…

Learn more
IVUS (Intravascular Ultrasound)

IVUS (Intravascular Ultrasound)

Learn more
OCT (Optical Coherence Tomography)

OCT (Optical Coherence…

Learn more
Rotablation (Rotational atherectomy)/ Rotapro

Rotablation (Rotational atherectomy)/…

Learn more

Advanced Structural Intervention

TRIC valve for Tricuspid Regurgitation

TRIC valve for…

Learn more
Mitraclip Procedure

Mitraclip Procedure

Learn more
Balloon Aortic Valvuloplasty (BAV)

Balloon Aortic Valvuloplasty…

Learn more
Transcatheter Aortic Valve Implantation (TAVI) or (TAVR)

Transcatheter Aortic Valve…

Learn more
Left atrial appendage (LAA) closure

Left atrial appendage…

Learn more
Renal Denervation (RDN)

Renal Denervation (RDN)

Learn more
Right Ventricular Biopsy (or) Endomyocardial Biopsy

Right Ventricular Biopsy…

Learn more

Get In Touch With Us

Providing compassionate, evidence-based cardiac care with a focus on trust, clarity, and long-term patient wellbeing. For appointments and queries, reach out anytime.

Quick Links

  • Home
  • Profile
  • Statement
  • Lectures

Useful Links

  • Book Appointment
  • Treatment for Heart
  • Blog & Insights
  • Contact Us

Contact Info

Apollo Main Hospital
Room No.16, Cardiology OPD

Greams Road, Chennai – 600006

  • 044-2829 6150 / 91505 30819

Now Get Update & More Info

Copyright © 2025  The CRUD Studio