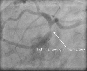
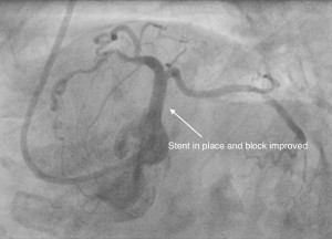
Left main coronary artery is the main artery in the left side that divides into two branches which supplies blood to most part of the heart. There are situations in which this is severely narrowed or blocked and would need attention. Previously, most patients were sent for coronary artery bypass surgery, but with advances in stent technology and the expertise available, angioplasty with stents are more and more performed nowadays to treat this condition. This can also be done, if the patients are considered too high risk for surgery or in emergency situations. Considering this is the largest coronary artery in the heart, it needs special attention and assessment to do the procedure to obtain excellent result.


