Angiogram(also known as coronary angiogram or cardiac catheterisation)
Coronary angiogram is a procedure to look at the arteries in the heart (called coronary arteries) to assess for blockages. This is mostly done as a day case procedure under local anesthesia, via the wrist (radial procedure) or occasionally through the groin (femoral procedure). The procedure takes 15- 20 mins and dye is injected into the heart arteries with special X-ray camera to take pictures. This is carried out in catheter lab and it is reasonably safe. Depending on the findings, the treatments options will be discussed with you- either medications (tablets), angioplasty (key hole/pin hole – coronary intervention) or CABG (open heart Bye pass surgery).
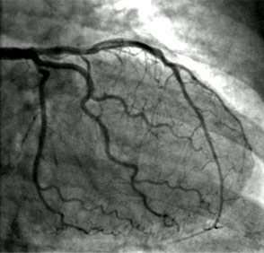
What can an angiogram show?
An angiogram looks inside the coronary arteries. It can show exactly where any narrowings in the coronary arteries are and how severe they are. It can also help decide what sort of treatment a person with coronary heart disease or angina may need. For example it can show if they need to have a coronary angioplasty or bypass surgery.
How is an angiogram carried out?
You should not eat or drink anything for a few hours before the procedure. The test takes place in a cath lab (also called a catheter lab). It usually takes around 10-15 mins, but can take longer. A catheter (a thin, flexible, hollow plastic tube) is passed into the artery in wrist (radial proedure) mostly, but occasionally through the leg (femoral procedure). You will have a local anaesthetic to numb the area where the catheter is inserted. Using X-ray screening the catheter is directed through the blood vessels and into the heart.
A special dye is injected into the catheter and a series of X-ray pictures are taken from different angles, while you lie still on the table. The dye sometimes causes a hot, flushing sensation. The dye shows up all the coronary arteries on the X-rays, to see if there are any narrowings or blockages there. While you are having the angiogram you will be continually linked to a heart monitor that records your heart rate and rhythm.
If at any time during the procedure you feel unwell or experience any discomfort, you should tell a member of staff.
What happens after an angiogram?
When the angiogram is over, the catheter is removed from the artery. A wrist band is put on the wrist with some pressure to stop the bleeding from the artery. This will be deflated over a period of 1-2 hrs and removed. You are not allowed to lift heavy objects in the hand for couple of days. If you have a slight pain in the wirst, you can take simple pain killers such as Paracetamol (500 mg) to help with the pain.
If you have the angiogram through the leg, then you have to stay in bed for few hours before mobilising.
Most people who have an angiogram will be able to go home the same day. However depending on your results and your condition, the doctor may want you to stay in hospital longer.
Are there any risks to having an angiogram?
A coronary angiogram is a relatively safe test and serious complications are rare. The risk of having a heart attack, stroke or dying is estimated at about 1 or in every 1000- 2000 people. However the risk varies depending on your overall health and your individual heart condition. Your doctor will not recommend that you have a coronary angiogram unless he or she feels the benefits outweigh the small risk.



